Skip to content
πŸ”₯ Diva Membership Enjoy up to 30% off All Year Round Β  Β  πŸš› Free Delivery on Hong Kong orders over HKD500
πŸ”₯ Diva Membership Enjoy up to 30% off All Year Round Β  Β  πŸš› Free Delivery on Hong Kong orders over HKD500

New Client Special Offer | Exilis Ultra 360 Treatment

HK$1,380.00
HK$3,000.00

Exiis Ultra 360β„’ is the world's only FDA-cleared, Non-Invasive, Monopolar-Radiofrequency with ultrasound technology for different skin conditions such as fine lines, wrinkles, skin laxity, and stubborn body fat.

Quantity

What is Exilis Ultra 360β„’οΌŸ

Exiis Ultra 360β„’ is the world's only FDA-cleared, Non-Invasive, Monopolar-Radiofrequency with ultrasound technology for different skin conditions such as fine lines, wrinkles, skin laxity, and stubborn body fat.

2-in-1 Technology

It uses a simultaneous combination of Monopolar-Radiofrequency, Ultrasound and Skin Cooling technology to stimulates new collagen and elastin of the skin.

Controlled Energy on Target Areas

Dura power technology optimizes power consumption and lasts 4 times longer than a standard trimmer.

360 Degree Full Coverage

It also has three-dimensional penetration energy to improve the problem areas in a 360Β° full coverage.

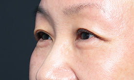
CASE STUDY Results

Before

After

Before

After

Before

After

Before

After

Before

After

Before

After

Before

After

Before

After

Before

After

Frequently asked questions

Treatment Experience

What does the treatment feel like? Does it hurt?


Exilis Ultra 360 provides the most advanced non-invasive tightening solution, treating your face and body parts safely, efficiently, and without pain.

 

For Face:
 

You will feel a mild warming sensation in the target areas. You may notice some redness immediately following treatment. Redness typically fades within an hour.

 

For Body:


Most clients describe the sensation of the treatment as being comparable to that of a hot stone massage. The treatment is performed in a lying position so you can easily relax during the procedure.

Treatment Effect

How long will it take before I see results?


Your provider will tailor the best treatment plan based on your individual needs. Most clients undergo between 4 to 6 treatments scheduled on a weekly basis. You will be able to notice results after the first or second session, which will improve over the following months.

 

For Face:


It effectively tightens and rejuvenates the skin, reduces wrinkles, and improves overall facial contours.

 

For Body:
Clients achieve a more defined body areas, by reducing the fat cells and tighter tighten skin after treatments.

Treatment Recovery Period

How long does it take to recover after the treatment?


As the procedure is completely non-invasive, there is no downtime or recovery period required. You can return to your normal activities right after the procedure.

 

For Face:
Your skin may feel warm and you may experience transient erythema (redness) immediately after the treatment, but this will dissipate quickly or may last for a few hours only.

 

For Body:
You may experience increased sensitivity to heat and tenderness in the treated area which may last for 24 - 48 hours after the treatment.

Treatment Safety

Is the treatment safe?


The Exilis Ultra 360 meets strict safety standards and has obtained US FDA Certification. The built-in EFC system guarantees the application of the exact amount of energy required during treatment.

 

For Face:
It can be used to treat mild to moderate sagging on all different skin types.

 

For Body:
Since body areas requires deep tissue heating, the Integrated cooling allows application of heat to reach the depth of penetration required for the best results while ensuring clients comfort.